terça-feira, 3 de maio de 2016

3/5/2016 às 00h20

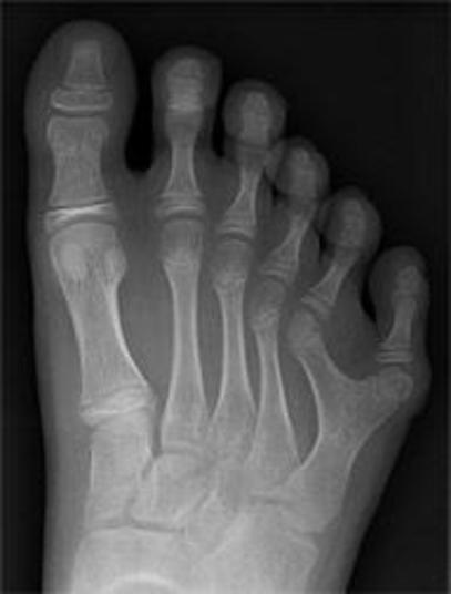
Menino nasce com 15 dedos nas mãos e 16 nos pés e pais fazem apelo por tratamento

O objetivo é ter recursos financeiros para criança passar por cirurgia a partir dos seis meses
Um casal na China está pedindo ajuda no tratamento do seu filho, Hong Hong, de três meses, que nasceu com 15 dedos nas mãos e 16 dedos nos pés. As informações são do The Sun 
Um casal na China está pedindo ajuda no tratamento do seu filho, Hong Hong, de três meses, que nasceu com 15 dedos nas mãos e 16 dedos nos pés. As informações são do The Sun.
O objetivo é ter condições de realizar uma operação possível a partir dos seis meses, para que os dedos em excesso sejam retirados 
O objetivo é ter condições de realizar uma operação possível a partir dos seis meses, para que os dedos em excesso sejam retirados.
A mãe dele também tem uma anomalia, possuindo um dedo a mais em uma mão e em um dos pés. O pai da criança, Zou Chenglin, disse que eles temiam pela possibilidade de o filho ter esse problema  
A mãe dele também tem uma anomalia, possuindo um dedo a mais em uma mão e em um dos pés. O pai da criança, Zou Chenglin, disse que eles temiam pela possibilidade de o filho ter esse problema.
A família tem poucos recursos financeiros, morando em Zhongping, em Pingjiang County, na província central de Hunan, China   
A família tem poucos recursos financeiros, morando em Zhongping, em Pingjiang County, na província central de Hunan, China.
Mas algumas instituições de caridade já se mostraram interessadas em colaborar, já que a cirurgia é muito cara, com o valor variando de R$ 54.000,00 a R$ 270.000,00   
Mas algumas instituições de caridade já se mostraram interessadas em colaborar, já que a cirurgia é muito cara, com o valor variando de R$ 54.000,00 a R$ 270.000,00.
Hong Hong e a mãe têm uma condição congênita chamada polidactilia, uma anomalia causada porque uma formação alternativa do gene (alelo) é dominante nessa situaçãoEspecialistas em genética e neurologia se reúnem para buscar tratamento para NPC  
Hong Hong e a mãe têm uma condição congênita chamada polidactilia, uma anomalia causada porque uma formação alternativa do gene (alelo) é dominante nessa situação.
O problema em si não gera riscos à saúde ou à vida, mas o estigma causado pela anomalia pode gerar traumas e atrapalhar no dia-a-dia da pessoa 

Conheça o R7 Play e assista a todos os programas da Record
na íntegra!

  
O problema em si não gera riscos à saúde ou à vida, mas o estigma causado pela anomalia pode gerar traumas e atrapalhar no dia-a-dia da pessoa.

Nenhum comentário :

Postar um comentário