quinta-feira, 29 de junho de 2017

Como a falta de sono afeta seu cérebro

Cientistas do Canadá lançaram o que promete ser maior estudo já feito no mundo sobre o impacto das noites mal dormidas.

Cientistas do Canadá lançaram o que promete ser o maior estudo do mundo sobre os efeitos da falta de sono no cérebro. 

Eles esperam que pessoas de todo o mundo se registrem pela internet para fazer testes cognitivos e participar do experimento. 

Jogos de computador testarão habilidades como raciocínio, compreensão da linguagem e tomada de decisões. 

O estudo é coordenado pelo neurocientista Adrian Owen, do Instituto de Cérebro e Mente da Universidade Western, no Canadá. 

"Sabemos como nos sentimos após uma noite mal dormida, mas conhecemos muito pouco sobre os efeitos da falta de sono no cérebro. Queremos ver como isso afeta a cognição, a memória e a habilidade de concentração", diz ele. 

A equipe irá analisar o desempenho dos participantes nos testes cognitivos e avaliar os diferentes resultados a partir das horas dormidas. 

A necessidade diária de sono varia de pessoa para pessoa, mas se o estudo conseguir reunir um número significativo de voluntários, permitirá aos cientistas determinar um número médio de horas necessárias para a otimização da função cerebral. 

O repórter da BBC Fergus Walsh e mais quatro voluntários passaram a noite na Universidade Western, onde testaram os jogos e puderam verificar como a falta de sono afeta o desempenho cognitivo.

Voluntários

Voluntários (no sentido horário): Hooman Ganjavi, Sylvie Salewski, Evan Agnew e Cecilia Kramar (Foto: Fergus Walsh ) 

Voluntários (no sentido horário): Hooman Ganjavi, Sylvie Salewski, Evan Agnew e Cecilia Kramar (Foto: Fergus Walsh )

  • Hooman Ganjavi, 42 anos, psiquiatra, acostumado a fazer plantões noturnos: "Durmo apenas de quatro a cinco horas por noite. Sei que a falta de sono aumenta o risco de doenças cardíacas e de derrame, mas, como muitos médicos, não aplico essas regras ao meu dia a dia".
  • Sylvie Salewski, 31 anos, mãe de duas meninas pequenas: "Para mim uma boa noite de sono é quando elas me acordam duas ou três vezes; não consigo me lembrar do que é dormir uma noite toda sem ser incomodada; normalmente me sinto meio desnorteada no dia seguinte".
  • Evan Agnew, 75 anos, vigia aposentado: "Nunca dormi mais de oito horas de sono por noite, e na minha idade não acho que preciso de mais de quatro horas. Acabo complementando meu sono durante o dia com um ou dois cochilos".
  • Cecilia Kramar, 31 anos, neurocientista que faz pesquisas cognitivas com camundongos noturnos, o que significa passar noites em claro no laboratório: "Quando não durmo muito, não consigo fazer nada complicado no dia seguinte, como ler uma revista científica, porque meu cérebro não funciona bem".
Participantes fizeram testes cognitivos (Foto: Owen Lab, Western )  
Participantes fizeram testes cognitivos (Foto: Owen Lab, Western )  
 
Testes foram refeitos depois de noite mal dormida (Foto: Owen Lab, Western ) 
Testes foram refeitos depois de noite mal dormida (Foto: Owen Lab, Western )

Testes

Os testes podem ser jogados em qualquer computador, tablet ou smartphone. 

Double Trouble: Você deve clicar na palavra debaixo que corresponde à cor na qual a palavra acima está escrita. Exemplo: se a palavra na linha superior é "azul", mas está em vermelho, você deve clicar na palavra da linha inferior que também está em vermelho, mesmo se estiver escrito "azul". 

Odd One Out: Começa simples, mas vai se tornando cada vez mais complexo. Você tem de achar o objeto que não pertence ao grupo. 

Grammatical reasoning: A afirmação sobre o diagrama é verdadeira ou falsa? Parece fácil, até você começar a lidar com negações. 

Spatial planning: O jogo testa a habilidade de planejar com antecedência - como todos os jogos, mede as competências cognitivas que usamos repetidamente durante todo o dia.

Desempenho

"Depois de ficarmos acordados até as 4h, podemos dormir por 4h. Quando refizemos os testes cognitivos durante a manhã, Evan, Cecilia e eu tivemos um desempenho muito pior do que na noite anterior", conta o repórter da BBC. 

Hooman - que está acostumado a ficar de plantão - não registrou uma variação negativa em sua pontuação, enquanto que a de Sylvie chegou, inclusive, a melhorar. 

"Embora fique um pouco desnorteada durante a manhã, talvez tenha me acostumado a funcionar com pouco sono. Tenho de estar funcionando assim que meus filhos acordam, então é normal para mim", disse Sylvie. 

Sempre soube que não funciono direito quando não durmo bem, então para mim não foi surpresa que minha pontuação tenha caído dramaticamente durante a manhã. 

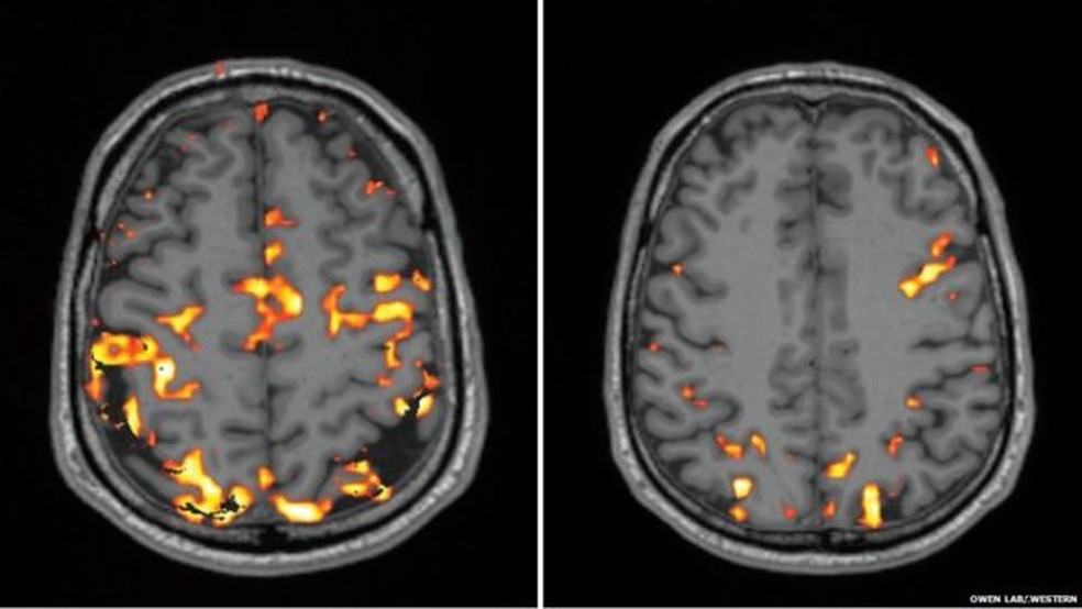
No caso de Walsh, da BBC, para descobrir o que estava acontecendo com seu cérebro, ele repetiu os testes cognitivos dentro de uma máquina de tomografia computadorizada. 

"Meu cérebro foi examinado duas vezes - depois de uma noite de sono normal e logo depois de uma noite mal dormida. A tomografia é capaz de detectar o fluxo de sangue no meu cérebro - as áreas que estão trabalhando mais intensamente são identificadas pelas manchas laranjas", explica. 
Imagem à esquerda mostra atividade do cérebro do repórter durante testes cognitivos depois de uma noite de sono normal, enquanto a da direita, do seu cérebro privado de sono (Foto: Owen Lab, Western ) 
Imagem à esquerda mostra atividade do cérebro do repórter durante testes cognitivos depois de uma noite de sono normal, enquanto a da direita, do seu cérebro privado de sono (Foto: Owen Lab, Western )  

A comparação entre as duas imagens não deixou dúvidas: por causa da falta de sono, o cérebro do jornalista apresentou um nível de atividade bem baixa. 

"Há muito menos atividade nos lobos frontal e parietais - áreas que sabemos serem cruciais para a tomada de decisões, a solução de problemas e a memória", explica Owen, o coordenador do estudo. 

Todos nós sabemos que é perigoso dirigir quando estamos cansados, porque nosso tempo de reação diminui e podemos dormir ao volante. 

Mas os efeitos da falta de sono no nosso cotidiano são bem menos compreendidos. 

"Pode ser que a falta de sono esteja tendo efeitos muito profundos na tomada de decisão e talvez a gente devesse evitar tomar decisões importantes como comprar uma casa ou mesmo se casar depois de uma noite mal dormida", avalia Owen.
Estudo é encabeçado por neurocientista britânico Adrian Owen (Foto: Fergus Walsh ) 
Estudo é encabeçado por neurocientista britânico Adrian Owen (Foto: Fergus Walsh )

Resultado

Passamos praticamente um terço das nossas vidas dormindo. Ou seja, o sono é tão vital para a nossa saúde quanto os alimentos que ingerimos e o ar que respiramos. 

Mas nossa cultura de estarmos ligados durante 24 horas por dia está reduzindo nossas horas de sono. 

No mês passado, um estudo na revista científica Nature Reviews Neuroscience apontou que havia "uma compreensão notavelmente pequena" das consequências da falta de sono crônica para o cérebro. 

A pesquisa dizia que mais estudos são necessários face ao que chamou de "declínio considerável da duração de sono em todas as nações industrializadas".  

Nenhum comentário :

Postar um comentário