Estudo francês relaciona inflamação no cérebro e meninges ao zika
Homem de 81 anos foi infectado e desenvolveu meningoencefalite.
Ele apresentou sintomas cerca de 10 dias após viagem.

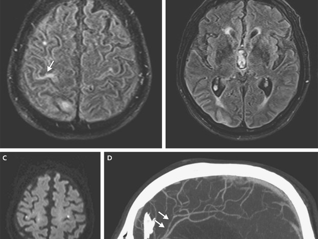
O vírus da zika pode estar associado à meningoencefalite em adultos, uma perigosa inflamação das meninges e do cérebro, segundo um novo estudo publicado nesta quinta-feira (10) pela revista especializada "The New England Journal of Medicine".
Esta é a conclusão de um grupo de cientistas franceses após a descoberta de que um homem de 81 anos infectado com zika em um cruzeiro no Pacífico Sul, região onde o vírus também circula, desenvolveu meningoencefalite e não se recuperou um mês depois.
"Os médicos devem estar a par de que o vírus do zika pode estar associado com a meningoencefalite", advertem os autores do estudo. Os cientistas descartaram que o paciente de 81 anos tivesse qualquer outro vírus e detectaram zika em seu líquido cefalorraquídeo - encontrado no cérebro e medula espinhal.
O homem não teve nenhum problema de saúde durante as quatro semanas que o cruzeiro durou, mas 10 dias após o término da viagem ele foi internado em uma Unidade de Terapia Intensiva (UTI). O paciente desenvolveu febre alta e teve vermelhidão na pele nas seguintes 48 horas, que são sintomas de vários vírus, entre eles o da zika.
Até agora, o possível vínculo da zika com a microcefalia, outras más-formações congênitas e a síndrome de Guillain-Barré foram os temas mais urgentes nas pesquisas científicas sobre o atual surto do vírus, que afeta sobretudo a América Latina.
A comunidade científica espera ter nos próximos três ou quatro meses os primeiros estudos que joguem luz sobre a ligação da zika com más-formações congênitas e transtornos neurológicos, assim como outras possíveis complicações de saúde associadas ao vírus.
Apenas o Brasil e a Polinésia Francesa reportaram casos de microcefalia (bebês com um cérebro de tamanho menor do que o normal) vinculados à zika, mas a Organização Pan-americana da Saúde (OPAS) prevê que nos próximos meses sejam identificados os primeiros casos na Colômbia, onde o surto foi detectado em outubro.
Em seis países ou territórios foi registrado um aumento de casos da síndrome de Guillain-Barré possivelmente associado ao vírus: Brasil, Polinésia Francesa, El Salvador, Colômbia, Venezuela e Suriname.

Nenhum comentário :
Postar um comentário