30/11/2015 às 15h46
Médicos retiram tumor do tamanho de bola de futebol de órgão genital masculino
Órgão cresceu por 12 anos, e homem procurou ajuda por dificuldades para andar
Homem tinha tumor de 30 cm de diâmetro em seu órgão genital
Reprodução/DailyMail
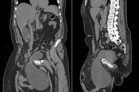
Um homem de 65 anos teve um tumor de tamanho de uma bola de futebol
retirado de seu órgão sexual. Ele decidiu procurar ajuda médica quando
sentiu dificuldade para urinar e para andar, já que o tumor, que crescia
há 12 anos, chegou até à perna. As informações são do site DailyMail.
O homem de 65 anos, natural de Marrocos, foi ao hospital em Rabat, e impressionou os profissionais, porque nunca havia sido registrado um caso como este.
Um homem de 65 anos teve um tumor de tamanho de uma bola de futebol retirado de seu órgão sexual. Ele decidiu procurar ajuda médica quando sentiu dificuldade para urinar e para andar, já que o tumor, que crescia há 12 anos, chegou até à perna. As informações são do site DailyMail.
O homem de 65 anos, natural de Marrocos, foi ao hospital em Rabat, e impressionou os profissionais, porque nunca havia sido registrado um caso como este.
Os médicos informaram que o tumor tinha cerca de 30 cm de diâmetro, mas o homem não queria operar porque tinha medo que afetasse seu órgão.
— Começou a aumentar mais o inchaço e eu decidi procurar ajuda. A situação ficou insustentável.
Ele foi colocado em anestesia geral, já que o tumor poderia estar envolvendo outros órgãos, e a cirurgia para a retirada do tumor foi um sucesso, segundo os médicos locais.
Seis meses após a operação, o homem se encontra bem e tem a sua vida de volta. Caminhar, urinar e até fazer sexo voltaram a ser ações cotidianas para ele.
O homem de 65 anos, natural de Marrocos, foi ao hospital em Rabat, e impressionou os profissionais, porque nunca havia sido registrado um caso como este.
Um homem de 65 anos teve um tumor de tamanho de uma bola de futebol retirado de seu órgão sexual. Ele decidiu procurar ajuda médica quando sentiu dificuldade para urinar e para andar, já que o tumor, que crescia há 12 anos, chegou até à perna. As informações são do site DailyMail.
O homem de 65 anos, natural de Marrocos, foi ao hospital em Rabat, e impressionou os profissionais, porque nunca havia sido registrado um caso como este.
Os médicos informaram que o tumor tinha cerca de 30 cm de diâmetro, mas o homem não queria operar porque tinha medo que afetasse seu órgão.
— Começou a aumentar mais o inchaço e eu decidi procurar ajuda. A situação ficou insustentável.
Ele foi colocado em anestesia geral, já que o tumor poderia estar envolvendo outros órgãos, e a cirurgia para a retirada do tumor foi um sucesso, segundo os médicos locais.
Seis meses após a operação, o homem se encontra bem e tem a sua vida de volta. Caminhar, urinar e até fazer sexo voltaram a ser ações cotidianas para ele.
Nenhum comentário :
Postar um comentário